On the day before Thanksgiving this year, a female mallard duck was brought to the Wildlife Medical Clinic after being hit by a car four days prior.

Physical examination found that the patient was not able to stay standing, although she was able to place her hindlimbs appropriately underneath her and move them when held in the air. No fractures were palpated, and the rest of the physical examination was generally unremarkable. Unfortunately, she appeared to have lost some waterproofing, which ducks and other aquatic birds normally need to keep their feathers dry. The patient was startedĀ on an anti-inflammatory medication and given swim time twice daily.
The following day, she was able to stand momentarily, but pododermatitis, or ‘bumblefoot’ lesions, were found on her feet. Since this is caused by a bacterial infection, an antibiotic silver sulfadiazine cream was applied. Even though after a few days the patient was gradually able to take a few steps, the dry and cracked lesions on her feet weren’t getting better. The team started applying a petrolatum-based lotion and applying ‘booties’ to take pressure off the lesions on the feet.

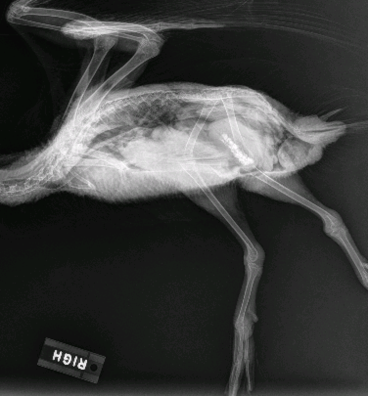
Since the patient was still having trouble walking and there was concern about the lesions on her feet, a plan was made to take radiographs. The patient was sedated and put under anesthesia to take the radiographs, which showed evidence of hind-end trauma. The pelvis appeared to have several fractures but in non-weight bearing portions and therefore was not a cause for concern. There was also an abnormality in the synsacrum, a fusion of the spine and pelvis found in avian species, which could beĀ causing inflammation and spinal problems. However, the issues noted on the radiographs did not seem to be recent, and the plan was to continue treatment with anti-inflammatory medication and provide increased swim time while monitoring for signs of improvement.
The lesions on the feet have improved significantly, and the hindlimb paresis, or weakness, has also shown some improvement, but this and the lack of waterproofing are still a concern. To help this patient regain strength in her back legs, she is given swim time in addition to ‘walks’ around the clinic each day. We hope that with continued treatment, this duck will continue to make progress.
-Diane Moon, Class of 2021


